原標題:《2個小時4個孩子摔傷,其中2人骨折!都是因為。。。。。。醫生緊急提醒》
僅僅2個小時
接連有4個孩子被摔傷
河南省省立醫院醫生發出緊急提醒
↓↓↓
傷害孩子的就是大家常見的平衡車、滑板車
8月23日晚上8點到10點之間
河南省省立醫院急診科
先后接診了4名被摔傷的孩子


而這樣的情況
并非只發生在23日那一晚
河南省省立醫院急診科主治醫生王超鵬介紹
暑假期間
他們幾乎一天接診五六個孩子被摔傷的病例

別小看這平衡車
看似酷炫拉風
實則危險重重!
時速能達到每小時20公里
接近電動車的速度
去年5月
陜西寧武孩子騎平衡車失控
險些被汽車碾壓!

去年10月
山東濰坊的一名男子騎著平衡車過馬路
制動失靈,出了事故!

近年來
平衡電動車引發的安全事故不在少數
也引起了媒體的廣泛關注
人民日報曾發布過此類新聞
“平衡車摔傷相當于掉下三層樓”


中消協曾發出消費提示
電動平衡車產品不屬于兒童玩具
不建議年齡較小的孩子使用

急救醫師稱
平衡車只有兩個輪子
沒有扶手和剎車
只能用腳來控制前進或轉彎穿梭在人群中
而小孩子的應變能力和判斷能力不足
視野也不夠開闊
當一旦遇到路況意外時
會無法調整姿態
所以很容易摔倒
而且一旦發生了
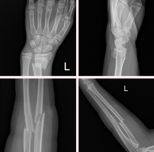
輕則皮膚擦傷,重則骨折
最后,提醒家長
孩子好奇心強且好動
陪伴孩子玩耍時
需提高安全意識,做好防護工作
一旦發生意外
應立即送醫
(民生大參考綜合河南省省立醫院記者|姬再良張璐梅|)







